EIGHT REASONS WHY:
- PATIENT DECLINES BONE GRAFTS
- PATIENT UNSUITABLE FOR BONE GRAFTS
- YOU WOULD NOT DO IT FOR YOUR MUM, SO WHY SHOULD YOU DO IT AT ALL?
- PATIENT WANTS FASTER TREATMENT
- PATIENT WANTS CHEAPER TREATMENT
- ESTHETICS OR IS IT AESTHETICS ..... SEEMS REMARKABLE !
- SURPRISINGLY SIMPLE AND PREDICTABLE
- IF THE ABOVE IS TRUE, IT SHOULD BE THE TREATMENT OF CHOICE !!!!
THREE YEARS LATER
This gentleman was 78 when he saw me. He was one of those dream patients who never quibbled about payment. He could not eat steak anymore and he wanted to eat steak. "Can you help me doc?"
So we started our rescue of this dental cripple who could not eat, talk or smile properly without having his chrome denture falling down each time. He was rich though and paid me whatever I billed him.....no questions asked.
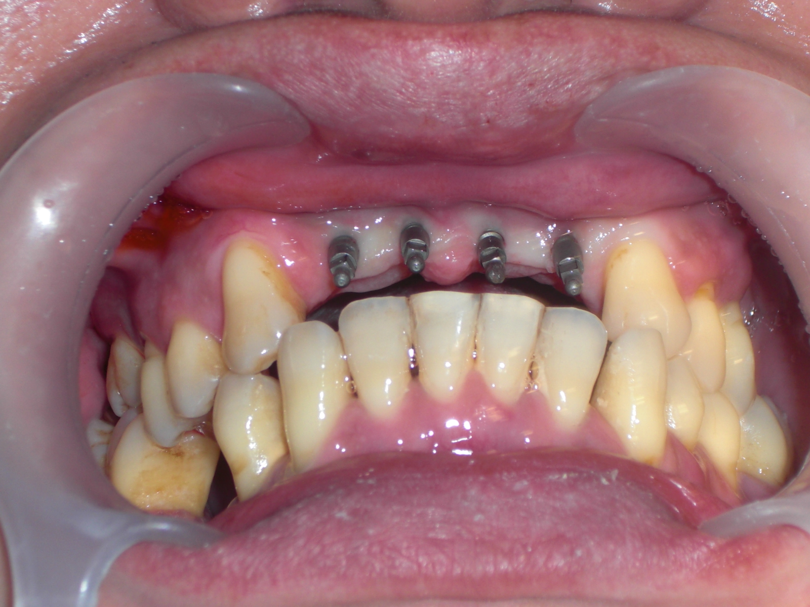
First we placed conventional sized implants in all the posterior areas where it was necessary. When it came to the front, I had a difficult tussle with my conscience. If I placed conventionals, I would have to do bone grafts and wait from 3 to 6 months before completion. And I would be able to charge him top dollar for the conventionals and the bone grafts. What did I do?
I placed in 4 minis.......yeah...just 4 minis and placed in a PFM bridge, all within a month in 2 visits. And I charged him a third what I would have charged him if I placed him conventionals.
I decided that if he is my father, thats what I would have done ! The best option at his age and lack of bone in the area were minis ! But I will make less dough ! Hang the profits........yea .....tough.......besides gaining the patient's best interest....I gained a sense of satisfaction and a good conscience.
The last picture was taken recently at age 82. Yeah, I did gain more than the patient's best interest.
Here are some more cases. For the atrophic maxillary anterior ridge, minimized dental implants should be the treatment of choice !!
A DENTAL-PHOBIC +++
A DENTAL CRIPPLE
TEMPORISATION WITH A REMOVABLE PARTIAL
MOSTDIS WHEREVER POSSIBLE
CENTRAL BONE RIDGE TOO NARROW
ISSUE OF BRIDGES
BLACK TRIANGLES......BUT WATCH !
13th APRIL 2012
13th APRIL 2012
HYPERPLASIA OF MUCOSA TO FILL IN THE BLACK TRIANGLES
MINIMIZED DIAMETER IMPLANTS ALLOW PLENTY OF NUTRIENTS TO ENABLE IT
CONVENTIONAL SIZED IMPLANTS OFTEN COMPROMISE THE NUTRITION
1st JUNE 2012
1st JUNE 2012
MINI SCORES GOAL !!!
SMALL! SKILLFUL! POWERFUL!
THE FOLLOWING PICS WERE TAKEN TODAY
6th MARCH 2013
PLEASE NOTE THAT THE BLACK TRIANGLE PIC SHOWN EARLIER WERE TAKEN
13th APRIL 2012

No comments:
Post a Comment