IN THE BEGINNING
Below is the orthopaedic appliance.
It is an attempt to bodily move the two canines forward together with its supporting alveolar bone so as to improve the overbite/overjet relationship with the uppers.
As you can see, it succeeded quite admirably.
BEFORE
AFTER ABOUT ONE YEAR
THE PATIENT SMILES!!!!
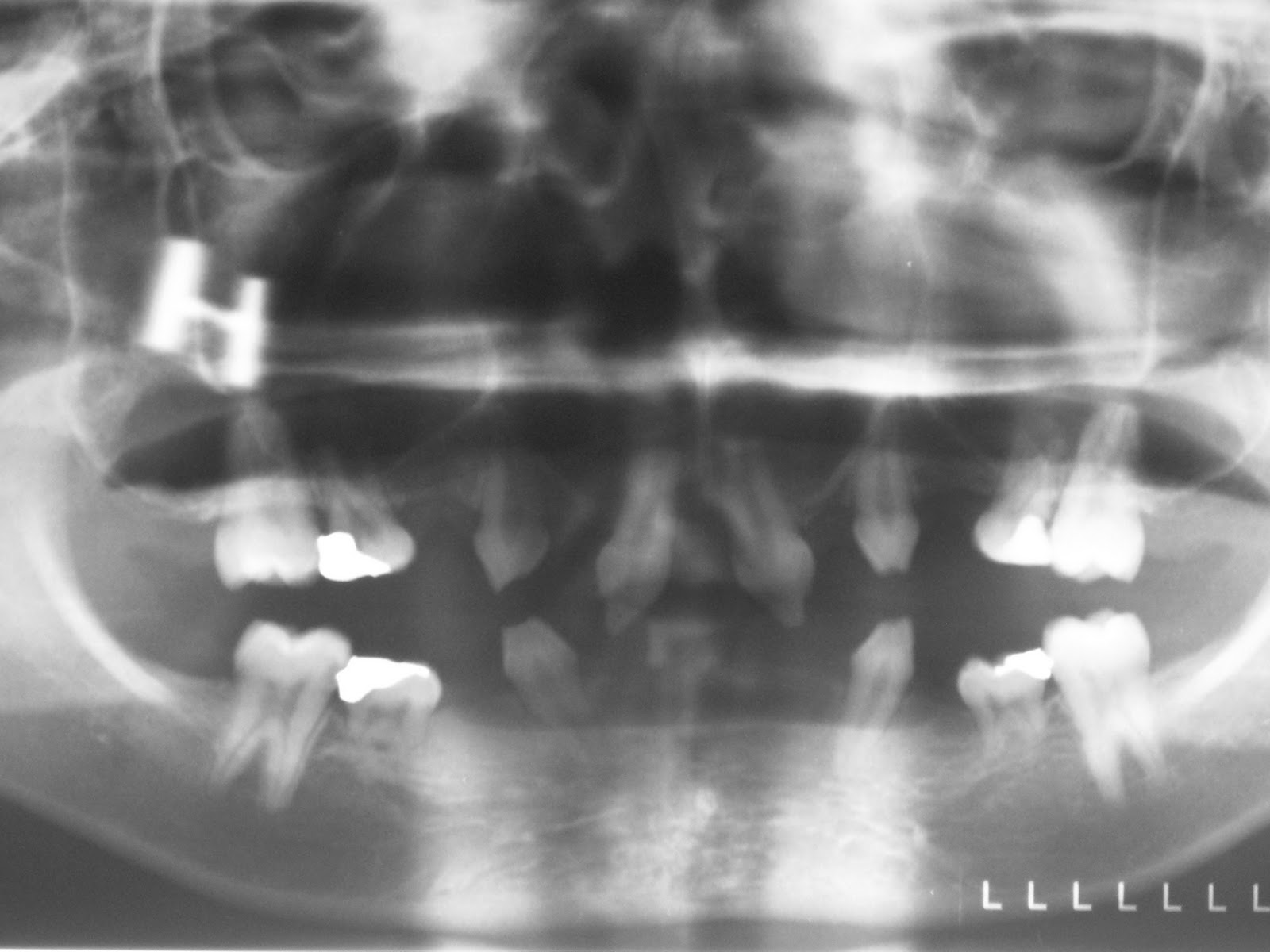
AFTER 21 YEARS.
WHAT A WONDERFUL BIRTHDAY GIFT!
